Brief Description
-
This patient had an intrauterine device placed postpartum, initially with palpable strings, but later presented with pelvic pain and intrauterine pregnancy.
-
Ultrasound identified the intrauterine device outside the uterus; the device was found encased within the retroperitoneum on subsequent laparoscopy.
-
This course suggests that intrauterine devices may migrate.
1. Introduction
The intrauterine device (IUD) is widely used for contraception, and its use is increasing within the United States (Kavanaugh, Jerman, and Finer 2015). The incidence of uterine perforation associated with IUD insertion is estimated at 1.1 per 1,000 insertions (Heinemann et al. 2015). Rare cases of IUD uterine perforation and subsequent penetration of other organs have been previously described, including the bladder (Demirci et al. 2003), urethra (Ko, Lin, and Lo 2011), rectum (Eichengreen et al. 2015), and gastric wall (Zhao et al. 2021). Here, we present a novel case of IUD uterine perforation and subsequent identification within the retroperitoneum, overlying the ureter and iliac vessels.
2. Case
A 35-year-old gravida 4 para 3 woman with history of postpartum thyroiditis presented seeking induced abortion at 6 weeks and 3 days gestation.
Seven months previously, the patient had undergone uncomplicated vaginal delivery. Following delivery, due to pelvic pain and pelvic floor weakness, she was treated with pelvic floor physical therapy, which led to moderate symptom relief. At her routine postpartum visit, she had a copper IUD placed without complications. Five days following insertion, she experienced pelvic pain and dyspareunia. However, as she was able to palpate her IUD strings, no imaging was performed.
Five months after IUD placement, she was seen again for fatigue and return of pelvic pain. Her clinician ordered thyroid function tests (which were normal) and prescribed topical vaginal estrogen, in addition to continued physical therapy. When her symptoms did not improve, the patient took a home pregnancy test, which returned positive. At this time, the patient stated she had not felt her IUD strings in approximately 2 months, and no strings were visible on exam. Pelvic ultrasound confirmed intrauterine gestation of approximately 5 weeks gestation, with no IUD visualized in uterus.
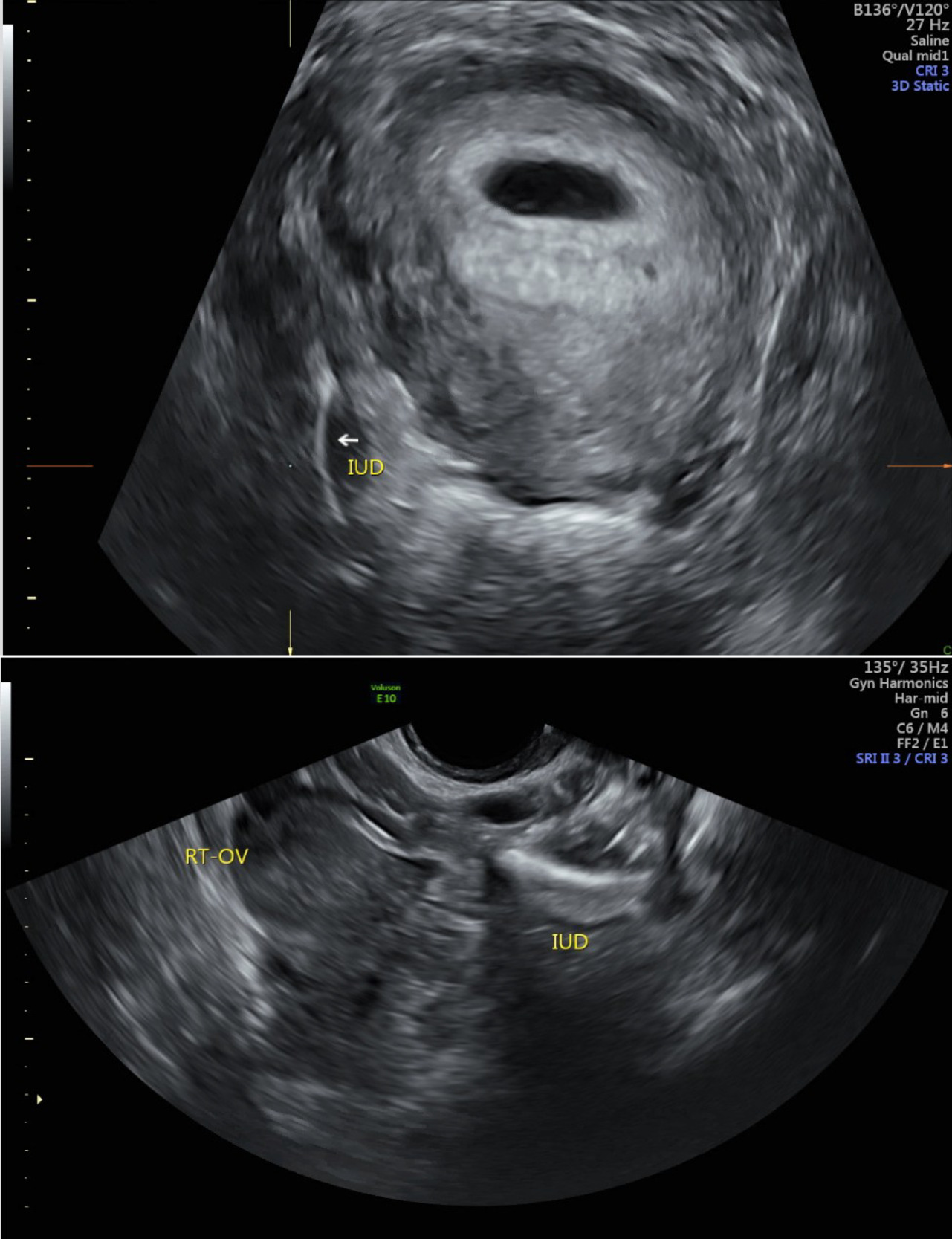
The patient was referred to our family planning clinic seeking induced abortion and IUD localization and removal. Transvaginal ultrasound confirmed intrauterine pregnancy at 6 weeks and 3 days and identified the IUD in the right adnexa (Figure 1). After counseling, the patient had an uncomplicated medical abortion with plan for laparoscopic IUD removal upon abortion completion.
Approximately 2 weeks following her abortion, we performed diagnostic laparoscopy to locate and remove the IUD. The IUD strings were located in an area of dense adhesions involving right adnexa and bowel (Figure 2). The IUD body was fully encased within retroperitoneum, overlying the ureter and iliac vessels (Figure 3). Careful dissection allowed for removal of the IUD and strings intact without damage to adnexal or retroperitoneal structures, and the patient was discharged home the same day.
Two weeks following surgery, the patient presented for post-operative visit and was recovering well. She opted for contraception with another copper IUD, which was placed under ultrasound guidance without complications. The patient provided written consent for publication of this case report, which was IRB-exempt.
3. Discussion
Although uterine perforation by IUDs is rare (Kavanaugh, Jerman, and Finer 2015), incidences of IUD perforation of the uterus and other organs have previously been described (Demirci et al. 2003; Ko, Lin, and Lo 2011; Eichengreen et al. 2015; Zhao et al. 2021). The degree to which perforated IUDs can migrate remains unresolved.
In this case, it is possible that IUD perforation could have been diagnosed sooner if imaging had been performed earlier. Despite the patient’s ability to palpate IUD strings, her persistent pelvic pain and dyspareunia could arguably have prompted ultrasound imaging to confirm correct IUD placement.
Several factors in this case point to IUD migration following placement. The patient was initially able to feel the strings of the IUD; however, the strings and the IUD were later found in the abdominal cavity at laparoscopy. The IUD was also found entirely encased in retroperitoneum, which covered the body of the IUD without defects at the time of laparoscopy. It is unlikely that an IUD could be placed so laterally at the time of insertion, or that an IUD inserted directly in this location could have avoided causing acute injury to the delicate structures there. The sequence of events suggests the IUD was placed correctly or partially perforated, with subsequent migration through the myometrial wall and then through the peritoneum into the retroperitoneum. Although a perforated copper IUD is thought to cause more inflammatory response and adhesion formation in the abdomen than the levonorgestrel IUD, migrating through the peritoneum into the retroperitoneum is a previously undescribed and potentially dangerous behavior of a perforated IUD.
Acknowledgements
We would like to thank this patient for graciously allowing us to share her medical history for educational purposes.
Funding
No funding was provided for this research. The authors report no conflicts of interest. This case report has not been previously published. This research was exempt from IRB approval. The patient provided written consent for publication of this case report.
Figure 2: Strings of intrauterine device seen on laparoscopy in area of dense adhesions of right adnexa and bowel.
Figure 3: Body of intrauterine device seen on laparoscopy encased within retroperitoneum, overlying the ureter and iliac vessels.

_intrauterine_device_seen_in_right_adnexa_on_3-dimensional_ultrasound._(b)_intrauterine.png)