A 41-year-old female underwent a robotic total laparoscopic hysterectomy due to symptomatic adenomyosis with a 12-week size uterus. EBL was 50 ml. No intraoperative complications were noted. She was discharged on POD #1 in stable condition.
On POD #33, the patient presented to the Emergency Department with brisk vaginal cuff bleeding, which was unable to be attenuated at bedside. The patient then underwent a diagnostic laparoscopy, where a 1.5cm midline superficial defect of the vaginal cuff was noted with suboptimal hemostasis from surrounding raw edges. The defect was sutured laparoscopically with hemostasis noted. The patient was discharged the same day in stable condition.
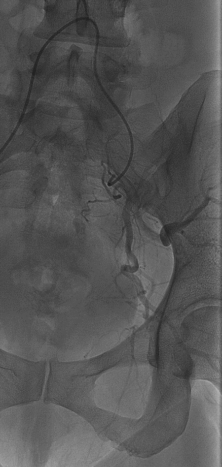
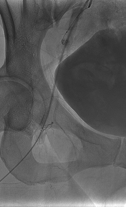
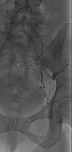
On POD #50 from the hysterectomy, the patient presented to the office with persistent vaginal cuff bleeding, less brisk than prior presentation. There were no sources of bleeding identified on exam. The patient then underwent a CT scan without any evidence of intraabdominal bleeding. Given persistent bleeding without a clearly identifiable source, the decision was made to proceed with bilateral embolization of the anterior divisions of the internal Iliac arteries. The embolization led to resolution of the vaginal cuff bleeding.
On POD #3 following the embolization, the patient presented to the Emergency Department complaining of severe right labia minora pain. A tender, erythematous 2 cm area on her right labia minora was noted. There was no evidence of necrosis or infection on exam. She was admitted for prophylactic antibiotics and pain control. Her pain improved significantly and she was discharged on hospital day 2 with a pain control regimen.
Over the next two weeks, her labial pain had almost completely resolved. Three months postoperative, her pain and bleeding had completely resolved.
This patient’s localized labia minora pain was the result of nontarget labial embolization during bilateral internal Iliac artery embolization. The internal pudendal artery and uterine artery are adjacent to each other, branching off the anterior portion of the internal iliac artery. The internal pudendal artery supplies the labia minora. Most likely, injection of embolic material into the ligated uterine artery resulted in the reflux of particles into the right internal pudendal artery, producing ischemia in the branches supplying the labia.
Labial nontarget embolization was successfully managed with pain medication. This case was interesting because non-target embolization has been reported following uterine artery embolization as a primary fibroid treatment,(Goldberg and Mella 2006) but a literature search found no similar cases in patients who had previously undergone hysterectomy followed by embolization.
This case of non-target embolization of the labia following bilateral internal iliac embolization for postoperative vaginal cuff bleeding a unique presentation and clinical scenario that was successfully managed.




