Introduction
Rectus abdominis sheath hematomas are a rare but life-threatening cause of postpartum hemorrhage. This complication can occur spontaneously or secondary to damage to the inferior epigastric vasculature during surgery (Elmoghrabi et al. 2016; Ko et al. 2002). The anatomy of the anterior abdominal wall musculature itself makes it prone to vascular injury. Weak perforating vessels of the inferior epigastric arteries and veins loosely attach to the rectus abdominis. The inferior epigastric arteries, when injured, have the potential to form larger hematomas when compared to the superior epigastric arteries due to the absence of a posterior rectus sheath below the arcuate line (Kandinata and Van Fossen 2023). Known risk factors for developing a rectus sheath hematoma include female sex, pregnancy, hypertension, and anticoagulation therapy (Liao and Puckett 2021).
While ultrasound can be used for the rapid diagnosis of rectus sheath hematomas, computerized tomography (CT) is the accepted gold standard. CT imaging has been used to classify the types of rectus sheath hematomas, Types 1-3, based on spread and the presence or absence of active contrast extravasation (Berná et al. 1996). There have been attempts to standardize the management of rectus sheath hematomas based on these defined types. Proposed algorithms have incorporated additional factors, including the rate of hemoglobin drop, the number of units of packed red blood cells transfused and the hematoma diameter (Liao and Puckett 2021).
Our case series demonstrates that while existing algorithms can help guide the treatment of rectus sheath hematomas, further management is sometimes needed when caring for special populations, such as obstetric patients. We present the cases of two patients who underwent Cesarean deliveries complicated by injury to the inferior epigastric vasculature, leading to a rectus sheath hematoma. Postoperative bleeding persisted despite initial surgical management. One patient required intravascular embolization by interventional radiology and the other developed a consumptive coagulopathy. These cases highlight the need for prompt recognition and treatment of rectus sheath hematomas, using sound clinic judgement to respond to an evolving situation.
Case Presentations
The first case was a 23-year-old gravida 1, para 0 at 30 weeks gestation admitted for preeclampsia with severe features. Her pregnancy was otherwise uncomplicated. She presented with an intractable headache and sustained severe range blood pressures requiring intravenous antihypertensives. She received intravenous magnesium for seizure prophylaxis. On hospital day 2, the decision was made to proceed with a primary low transverse Cesarean section for non-reassuring fetal status. Her procedure was uncomplicated with a total estimated blood loss of 500 cc.
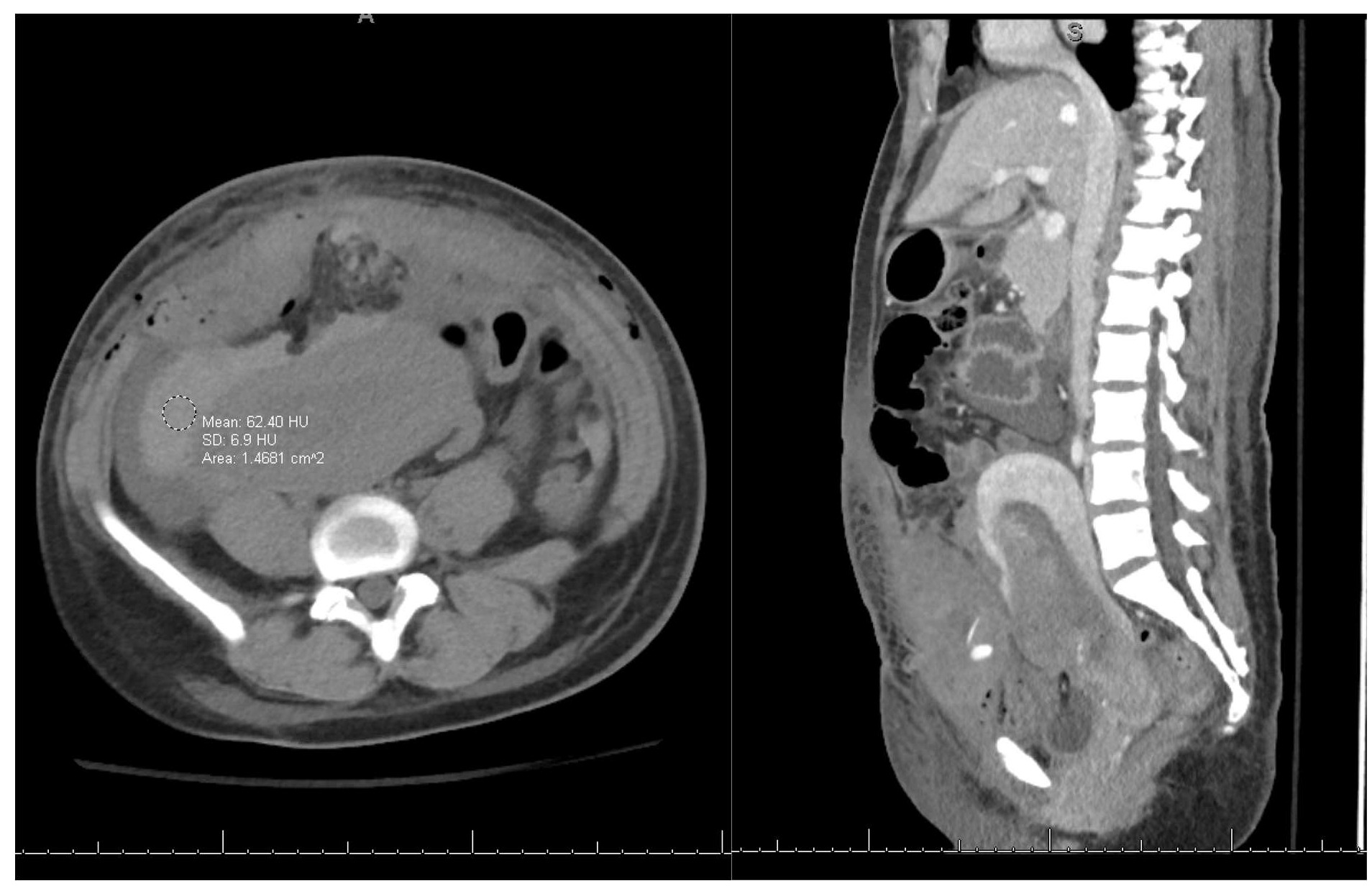
On postoperative day one, the patient’s hemoglobin was noted to be 6.5 g/dL, a significant decrease from her admission hemoglobin of 10.8 g/dL. She had symptomatic acute blood loss anemia endorsing dizziness but remained normotensive and non-tachycardic. A unit of packed red blood cells was administered. The patient initially denied abdominal pain but later reported worsening discomfort. On physical exam, her abdomen was distended and tender to palpation in all quadrants. A CT scan demonstrated hemoperitoneum with a moderately large amount of blood noted along the right side of the uterus. High attenuation infiltrative changes were noted within the anterior pelvic wall musculature. On post contrast imaging, there was pooling within the anterior abdominal wall musculature concerning for active bleeding (Figure 1). Although she remained hemodynamically stable, her worsening abdominal exam prompted a return to the operating room for an emergent exploratory laparotomy due to concern for intrabdominal hemorrhage.
During surgery, the previous Pfannenstiel incision was re-opened to reveal approximately 1000 cc of blood clot which was evacuated from the abdomen. A comprehensive survey of the abdomen was performed. The hysterotomy site was noted to be hemostatic. Attention was turned to the rectus abdominis which was dusky in appearance with adherent blood clots. Following irrigation, active bleeding was noted from the left aspect of the rectus muscle at the level of the Pfannenstiel incision. This appeared to resolve following ligation of a small perforating vessel, thought to be a branch of the inferior epigastric artery. A Jackson Pratt (JP) drain was placed and the incision was closed. An additional unit of packed red blood cells was transfused intraoperatively.
Shortly after transferring the patient to the recovery area, active bleeding was noted at the surgical site, saturating the dressing. Frank red blood was seen in the JP drain. Interventional radiology was consulted to evaluate for possible intravascular embolization. Multiple sites of both the left and right inferior epigastric arteries were identified as sources of active bleeding on CT angiography. Successful coil embolization of bilateral inferior epigastric arteries was performed. Figure 2 demonstrates active extravasation of contrast prior to embolization in comparison to post embolization arteriograms. She received a total of three units of packed red blood cells with and estimated total blood loss of 2000 cc. Despite these losses, the patient remained hemodynamically stable with a normal coagulation profile. The JP drain was removed prior to discharge.
The second case was a 29-year-old gravida 5, para 3 admitted for a scheduled repeat Cesarean section at 40 weeks gestation. She had a history of three prior Cesarean deliveries. Her pregnancy was complicated by limited prenatal care, gestational hypertension, and anemia with a hemoglobin of 8.9 g/dL. During her delivery, dense adhesions of the rectus abdominus were noted. Her surgery was otherwise uncomplicated with and estimated blood loss of 800 cc.
The morning of postoperative day one, the patient reported dizziness and shortness of breath with standing. Her hemoglobin was 5.9 g/dL prompting the care team to transfuse two units of packed red blood cells. Her vital signs remained unremarkable; however, she later complained of worsening abdominal pain. On physical exam, her abdomen was distended with diffuse tenderness on palpation. A repeat hemoglobin decreased to 5.3 g/dL, at a rate of approximately 0.25 g/dL per hour, despite receiving a blood transfusion. She was becoming coagulopathic with a fibrinogen of 174 mg/dL (Prothrombin time (PT) 14.8 seconds and International Normalized Ratio (INR) 1.2). The patient was moved emergently to the operating room for an exploratory laparotomy prior to undergoing imaging. She received an additional two units of packed red blood cells enroute to the operating room and the Massive Transfusion Protocol (MTP) was activated for correction of her coagulopathy.
The patient’s prior incision was opened, revealing 1300 cc of dark red blood which was evacuated from the abdomen. After copious irrigation, active bleeding was noted from the superior aspect of the left rectus muscle. This area was suture ligated and hemostasis was achieved. Generalized oozing of the rectus muscle and subcutaneous tissue was seen. This was controlled using monopolar energy and application of a hemostatic agent. A JP drain was placed and the incision was closed. In total, the patient received two units of packed red blood cells, three units of fresh frozen plasma, one unit of cryoprecipitate, and 1 g of tranexamic acid intraoperatively.
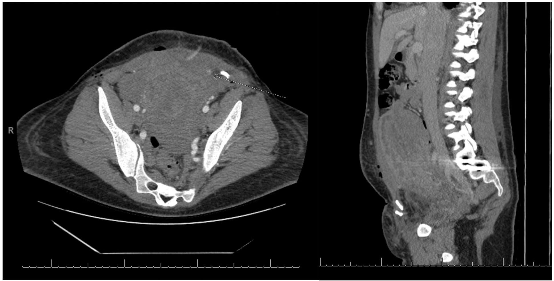
While being evaluated in the recovery unit, the JP drain had an output of 200 cc of bright red blood. At that time her hemoglobin was 6.3 g/dL with a fibrinogen of 186 mg/dL (PT 15.1 seconds and INR 1.2). A CT scan of the abdomen/pelvis (Figure 3) revealed a small collection of blood within the rectus sheath in addition to hemoperitoneum anterior to the uterus. An “abrupt cut off” of the left inferior epigastric artery indicated a possible injury. There was no active extravasation of contrast identified and interventional radiology determined there would be little utility in performing intravascular embolization. Postoperatively she required two additional units of packed red blood cells (eight units total), two units of fresh frozen plasma (five units total), one unit of cryoprecipitate (two units total), and one unit of platelets. Over the next three days prior to discharge, the patient’s hemoglobin stabilized at 7.2 g/dL and her consumptive coagulopathy resolved.
Discussion
As demonstrated by the above cases, patients with rectus abdominis sheath hematomas often present with acute abdominal pain, traditionally described by the Fothergill and Carnett signs. The former can be described as a fixed, palpable mass of the rectus sheath while the latter refers to the worsening of acute pain when abdominal muscles are tensed or contracted (Yale, Tekiner, and Yale 2020). This can help clinicians distinguish between rectus sheath hematomas and an intrabdominal source of bleeding.
Our patient cases had several risk factors for developing rectus sheath hematomas. This complication occurs more frequently in females rather than in male patients. Increased intrabdominal pressure and muscular stretch leads to an increased incidence of rectus sheath hematomas in pregnancy (Shikhman and Tuma 2023). Both women had hypertensive disorders of pregnancy with the potential for endothelial dysfunction, activation of the coagulation cascade and vasospasm. Cesarean deliveries often involve extensive dissection, retraction and separation of the rectus muscles which can lead to vascular injury.
Rectus sheath hematomas can be categorized using the well-established classification system by Berna et al (Berná et al. 1996). Expanding on those types, Liao developed an algorithm to define the treatment of recuts hematomas (Liao and Puckett 2021). The first patient in our series had a Type 3 rectus sheath hematoma defined as the active extravasation of contrast on CT imaging extending beyond the confines of the rectus muscle. The second patient was deemed too unstable to undergo imaging. Neither patient was deemed to be a candidate for conservative management due to their instability. The algorithm by Liao provides a checklist and criteria for proceeding with procedural intervention rather than conservative management. These criteria include a drop in hemoglobin of at least 0.25 g/dL per hour, transfusion of three units of packed red blood cells, or a hematoma diameter greater than 7 centimeters. One or more of these criteria were met in both cases supporting our decision to proceed with procedural management. Because of the emergent nature of the cases, the patients underwent immediate surgical evaluation with an exploratory laparotomy rather than intravascular embolization. As noted above, both patients required further interventions as well.
If not recognized promptly, rectus sheath hematomas can lead to significant morbidity and mortality. Existing algorithms, such as the model proposed by Liao et al., help guide clinicians in the diagnosis and treatment of this complication. Conservative management may be feasible, however expeditious clinical decision is often necessary, especially in cases of clinical instability or rapidly dropping hemoglobin levels. Despite receiving the appropriate treatment, including definitive management with exploratory laparotomy, both patients required additional interventions. One patient underwent intravascular embolization by interventional radiology and the other required aggressive transfusion of blood products in the setting of a consumptive coagulopathy. These cases demonstrate that while algorithms can be useful in standardizing the care of critically ill patients, providers must continue to rely on rapid clinical judgement, taking each individual patient and situation into consideration.

_scan._ct_scan_demonstrating_hemoperitoneum_an.png)
_angiogram._active_extravasation_of_contrast_i.png)
_scan._a_small_collection_of_blood_within_the.png)